Nörolojik Görüntüleme

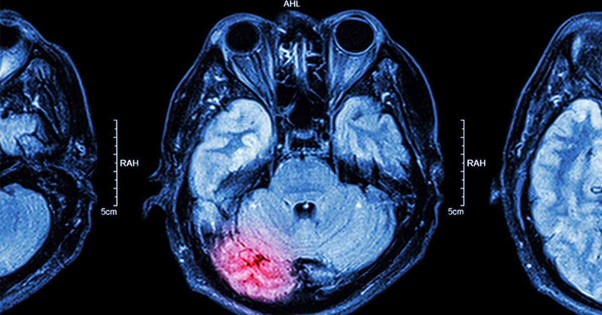
İnme, inflamatuvar ve iltihabi hastalıklar, epilepsi gibi nörolojik bozukluklar ve nörodejeneratif ( sinirlerde hasar yapan) hastalıkların hızlı ve erken tanısı, tedavi yapıldıysa tedavi sonrası başarıyı değerlendirmede ve sağkalımda önemlidir.

Merkezimizde bulunan son teknoloji cihazlar ve gelişmiş yazılımları sayesinde nörolojik hastalıklarda perfüzyon (kanlanma) incelemeleri yapılabilir, yüksek çözünürlüklü, 3 boyutlu (3D) görüntüler elde edilebilir.

Hızlı Randevu Formu

Kişisel bilgilerimin kullanılmasına ve iletişime geçilmesine izin veriyorum.